Accessibility links
Skip to main content
Skip to main Navigation
Skip to Search
About Learning English
Beginning Level
Intermediate Level
Advanced Level
US History
Video
Follow Us
Languages
Search
Search
Previous
Next
Breaking News
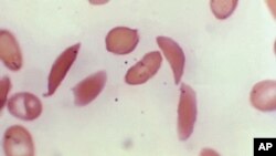
Quiz - Possible New Cure for Sickle Cell Disease
November 01, 2023
Start the Quiz to find out
Start Quiz
Quiz - Possible New Cure for Sickle Cell Disease
Share
Share
XS
SM
MD
LG